Оренбург ваш город?
Да
Выбрать другой город

УЗИ-аппарат
GE Vivid iq

В наличии
GE VIVID IQ - это передовая портативная система ультразвуковой диагностики, специально разработанная для обеспечения высокого качества образов и мобильности. Благодаря своим компактным размерам и легкому весу, VIVID IQ легко переносится и позволяет проводить УЗИ исследования в различных местах, включая комнаты пациентов, отделения скорой помощи и операционные.
Лизинг
Доставка и лизинг по всей России
Включая Дагестан, Чечню и Крым
Гарантия
Гарантия на медицинское оборудование от производителя!
Послепродажный сервис
Инженерная поддержка
Инструктаж по монтажу и обучение персонала включены в стоимость
Гибкие условия
Оперативная доставка
Лизинг и доставка оборудования в наличии от 1 рабоего дня

GE VIVID IQ – это ультрасовременный, выполненный в виде ноутбука УЗИ сканер с самым передовым техническим оснащением для проведения диагностических обследований сердечно-сосудистой системы человека. Его особенно оценят бригады скорой помощи из-за малого веса всего 4,5 кг., удобства переноски, а также быстрого выхода из состояния сна для начала работ.

Система поставляется на рынок в различных конфигурациях:

  • Стандартная Vivid IQ
  • Vivid IQ Premium с расширенным набором опций
  • Vivid IQ 4D с поддержкой технологии объемной реконструкции

Благодаря сенсорному 15,6-дюймовому дисплею, инновационному интерфейсу, а также замене традиционного трекбола на тачпад, врач получает эргономичное и удобное устройство для проведения сложных УЗИ-исследований.

Преимущества Vivid iQ:

  • Небольшой вес – 4.5 кг позволяет использовать устройство во время выездных вызовов.
  • Продолжительность работы аккумулятора с полной зарядкой – 3 часа.
  • Повышенная цветовая чувствительность, контрастность изображений.
  • Удобный сенсорный экран с уменьшенным количеством клавиш.
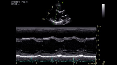
  • Передовые технологии, такие как 4D чреспищеводная эхокардиография, ЭКГ, стресс-эхо, внутрисердечная ультразвуковая эхокардиография, тканевый доплер и другие.
  • Прочная конструкция, простота в эксплуатации и уходе.

Купить УЗИ ультразвуковую диагностическую систему Vivid iQ

Компания Medicray предлагает Вам возможность приобрести ультразвуковую диагностическую систему Vivid iQ. Мы специализируемся на поставках медицинского оборудования в клиники, медицинские и хирургические центры, стоматологии и другие лечебно-профилактические учреждения. Мы гарантируем своевременные поставки, высокое качество оборудования и оптимальные цены.

У нас также имеется возможность приобретения оборудования в лизинговой форме совместно с несколькими лизинговыми компаниями. Процесс приобретения в лизинговой форме прост и удобен:

  • Оставьте заявку на нашем сайте или свяжитесь с нами по телефону 8 800 700 21 33.
  • Наш менеджер подготовит для вас предложение на оборудование и предоставит график платежей.
  • Вы получаете одобрение от выбранной лизинговой компании и заключаете договор лизинга.
  • Лизинговая компания приобретает выбранное оборудование и передает его вам в лизинг.
  • Вы начинаете использовать медицинское оборудование.
  • Вы регулярно вносите лизинговые платежи, а по окончании договора оборудование переходит в вашу собственность.

Не упустите возможность получить выгодную цену и лучшие условия финансирования. Позвоните нам уже сейчас по телефону 8 800 700 21 33 и оставьте заявку на коммерческое предложение по аппарату Vivid iQ. Потом может быть уже поздно!

Технические характеристики
Диагональ монитора:
15.6 дюйм
Вес аппарата:
4.5 кг
Жесткий диск:
512 ГБ
Тип аппарата:
Портативный
Эластография:
Нет
Класс аппарата:
Экспертный
Поддерживаемые датчики:
Матричные
Количество портов:
1
Страна производитель:
США
Бренд:
GE Healthcare
Категория:
Общая визуализация, Гинекология и акушерство, УЗИ для кардиологии
Доступные опции
Режимы акустической прозрачности 3D:
Нет
Трехмерная реконструкция ЦДК:
Да
Объемное сканирование:
Нет
Трехмерная реконструкция методом свободной руки:
Нет
Эластография сдвиговой волной/Эластометрия:
Нет
Компрессионная эластография:
Нет
Автоматическая подстройка рамки допплера:
Нет
Режим полной автоматизации:
Нет
Недопплеровская визуализация кровотока:
Да
Тканевой допплер:
Да
Направленный энергетический допплер:
Да
Энергетический допплер:
Да
Высокочастотный импульсный допплер:
Да
Цветовой допплер:
Да
Постоянно-волновой допплер:
Да
Импульсно-волновой допплер:
Да
Анатомический М-режим:
Да
Панорамное сканирование:
Нет
Режим B-сканирования с отклонением угла:
Нет
Трапециевидное сканирование/Виртуальный конвекс:
Да
Триплексное сканирование:
Нет
Дуплексное сканирование:
Нет
Цветной M-режим:
Нет
M-режим:
Да
B-режим, Двухмерное сканирование:
Нет
Область применения
Общая визуализация:
Да
Кардиология:
Да
Гинекология:
Да
Компоненты дополнительной поставки
4D:
Да
DICOM:
Да
IMT (Intima Media thickness):
Да
B-Steer:
Да
Аккумуляторная батарея:
Да
Стресс-эхо:
Да
ЭКГ модуль:
Да
AUTO 2D EF:
Да
AFI:
Да
Q-ANALYSIS:
Да
ADVQSCAN:
Да
TDI:
Да
LVO Contrast:
Да
Онлайн калькулятор
Цена
Ориентировочная цена модели
Аванс
10% 100%
 
Срок лизинга
12 месяцев 36 месяцев
 
Ежемесячный платёж
Первоначальный взнос
* Рассчет платежа носит информационный характер и не является публичной офертой.
Условия лизинга индивидуальны для каждого договора.
Условия лизинга
  • По всей России (Включая Крым, Дагестан и Чечню)
  • Авансовый платеж от 10% (для УЗИ брендов GE, Mindray и Samsung)
  • Оформление лизинга от 48 часов
  • Возможность досрочного погашения
  • Лизинг оборудования от 1 года

Базовая концигурация системы

  • Сенсорный экран 15.6" высокого разрешения.
  • 1 интегрированный активный порт для подключения RS-датчиков.
  • Режимы: 4D, 2D (B-режим), цветной допплеровский режим, режим энергетического допплера, M-режим, цветной M-режим, спектральные режимы импульсно-волнового допплера (PW) и непрерывно-волнового допплера (CW), визуализация скорости движения тканей.
  • Система автоматического сценария проведения исследования Scan Assist.
  • Архив пациентов.
  • Полная очетность.
  • Отчет, редактор отчетов, библиотека формулировок, нормальные значения, электронная подпись.
  • Анатомический М-режим (АММ).
  • Криволинейный анатомический М-режим (CAMM).
  • Панарамное сканирование.
  • Виртуальный конвекс (Virtual Convex).
  • Виртуальный апекс (Virtual Apex).
  • Недопплеровская визуализация кровотока (B-Flow, BFI, Angio).
  • Оценка комплекса интима-медия (IMT).
  • TVI - отслеживание тканей.
  • Автоматическая оптимизация изображения ATO / ASO.
  • Сложносоставное сканирование.
  • UD Четкость - снижение Speckle шума.
  • Поддержка работы с ЧП датчиками.
  • Поддержка DICOM-медиа.
  • 6VT (биплан/триплан).

Компоненты дополнительной поставки

  • ECHOSTRESS - модуль программ для проведения стресс-эхо исследований.
  • ADVQSCAN - автоматическая оценка и цветовое кодирование синхронности сокращения, деформации и скорости деформации миокарда.
  • Q-ANALYSIS - опция количественного анализаданных тканевого допплера, контрастных исселедований.
  • AUTO 2D EF - режим автоматической недопплеровской количественной оценки глобальной сократительной функции ЛЖ (по Simpson).
  • AFI - режим цифровой недопплеровской качественной и количественной оценки региональной сократительной функции ЛЖ.
  • 4D AUTO AVQ - модуль автоматического выравнивания, сегментации и обсчета размеров кольца аортального клапана по объемным данным.
  • 4D AUTO LVQ - модуль расчета массы миокарда ЛЖ на основе данных 4D-исследования.
  • LVO CONTRAST - опция контрастирования полости левого желудочка.

  • Конвексный датчик GE 4C-RS
  • Конвексный датчик GE C1-5-RS
  • Микроконвексный универсальный внутриполостной датчик GE E8CS-RS
  • Линейный датчик GE 12L-RS
  • Линейный датчик GE ML6-15-RS
  • Неотображающий карандашный доплеровский датчик GE P2D
  • Секторный датчик M5Sc-RS
  • Интраоперационный линейный датчик GE L8-18i-RS
  • Секторный датчик GE 3Sc-RS
  • Секторный датчик GE 6S-RS
  • Секторный датчик GE 12S-RS
  • Микроконвексный датчик GE 8C-RS
  • Чреспищеводный датчик GE 6Tc-RS
  • Чреспищеводный датчик GE 9T-RS
Давайте обсудим
Покупку или лизинг
медицинского оборудования